Реставрація зубів - відновимо форму, колір та природну красу

Відновлюємо ідеальну форму, колір та рельєф зубів за допомогою сучасних композитних матеріалів. Створюємо естетичну реставрацію, яку не відрізнити від натурального зуба

ЕСТЕТИЧНА РЕСТАВРАЦІЯ В ELITES

Спеціалізовані інструменти

Для досягнення ідеального результату ми використовуємо професійне обладнання: від алмазних та карбідних борів до спеціальних інструментів для моделювання та полірування

Природний вигляд та блиск

Завдяки широкій палітрі композитів ми точно підбираємо колір, а професійні системи полірування дозволяють відтворити природний блиск та текстуру емалі

Прозорий план та чіткі строки

Уже з першої консультації ви отримуєте детальний план: етапи, кількість візитів та остаточну вартість. Ми створюємо вашу чарівну усмішку за чітко визначеним графіком

Спеціалізовані інструменти

Для досягнення ідеального результату ми використовуємо професійне обладнання: від алмазних та карбідних борів до спеціальних інструментів для моделювання та полірування

Природний вигляд та блиск

Завдяки широкій палітрі композитів ми точно підбираємо колір, а професійні системи полірування дозволяють відтворити природний блиск та текстуру емалі

Прозорий план та чіткі строки

Уже з першої консультації ви отримуєте детальний план: етапи, кількість візитів та остаточну вартість. Ми створюємо вашу чарівну усмішку за чітко визначеним графіком

Скол, тріщина, стара пломба чи неідеальний колір зуба можна виправити за 1 візит

Художня реставрація — це мистецтво та точність, де лікар, наче скульптор, відтворює природну красу вашої усмішки. Ми працюємо поетапно, без стресу й нав’язаних послуг — лише те, що потрібно саме вам для досягнення бажаного результату

Процес

01

Консультація та підбір кольору

Лікар проводить огляд, діагностику та за допомогою спеціальної шкали підбирає ідеальний відтінок композитного матеріалу, що повністю збігається з вашими зубами

02

Підготовка та ізоляція зуба

Поверхня зуба дбайливо готується, видаляються старі реставрації чи уражені тканини. Робоча зона ізолюється кофердамом для захисту від вологи та ідеальної адгезії

03

Моделювання форми шарами

Лікар пошарово наносить композитний матеріал, відновлюючи анатомічну форму, горбки та фісури. Кожен шар полімеризується спеціальною лампою

04

Фінішна обробка та полірування

Відреставрованому зубу надається природний рельєф та дзеркальний блиск. Наприкінці лікар ретельно перевіряє прикус, щоб забезпечити вам повний комфорт

Ціни

Естетичне відновлення фронтального зуба фотополімерною пломбою

4 200 грн

Естетичне відновлення зуба фотополімерною пломбою під мікроскопом

6 500 грн

Лікарі

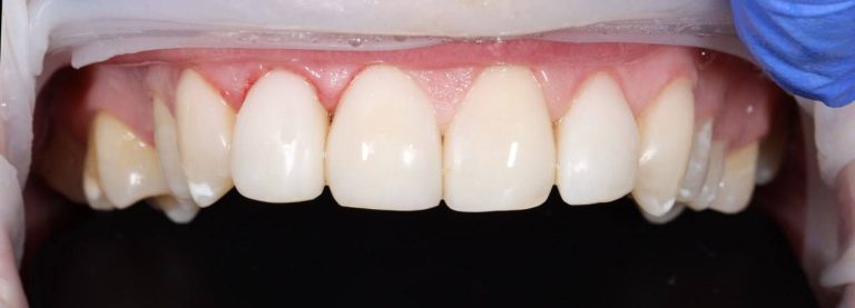
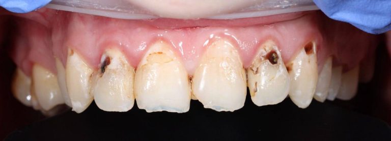
Результати

Художня реставрація фронтальних зубів

1 візит
1,5 год/зуб
90 USD

Звернення

– Порушення естетики посмішки
– Змінений колір зубів

Рішення

– Відновлено природну анатомію
– Ідеально підібрано відтінок

Питання

Чим реставрація відрізняється від пломби?

Пломба вирішує функціональне завдання — відновлює зуб після лікування карієсу. Художня реставрація поєднує функцію та естетику: лікар відтворює форму, колір і рельєф зуба, щоб він виглядав максимально природно.

Як довго тримається художня реставрація?

Термін служби залежить від догляду, навантаження на зуб і харчових звичок. У середньому реставрації можуть служити 7–10 років і довше. Регулярна професійна гігієна та огляди допомагають зберегти їхній вигляд і функцію.

Чи можна змінити форму або колір зубів реставрацією?

Так, у багатьох випадках за допомогою реставрації можна скоригувати форму зуба, закрити проміжки (діастеми), відновити стерті краї або змінити відтінок. Обсяг змін визначається індивідуально після консультації.

Чи видно реставрацію на зубі?

Мета художньої реставрації — зробити відновлення максимально природним. Лікар підбирає відтінки та рівень прозорості матеріалу відповідно до ваших зубів, щоб результат гармонійно поєднувався з ними.

Чи можна реставрувати зуб після травми або сколу?

Так, у багатьох випадках реставрація застосовується для відновлення зуба після сколів або травм. Вона дозволяє відновити форму та функцію зуба, а також покращити його зовнішній вигляд.

Записуйтесь на консультацію

На першій консультації лікар оцінить стан ваших зубів, обговорить ваші побажання та складе індивідуальний план лікування. Ви одразу будете знати точну вартість і побачите, якого результату ми можемо досягти разом

Натискаючи кнопку, ви приймаєте політику конфiденцiйностi та даєте згоду на обробку персональних даних

Художня реставрація зубів — це процедура, під час якої лікар відновлює форму, розмір і колір зуба за допомогою спеціальних матеріалів. До неї звертаються тоді, коли зуб пошкоджений або втратив естетичний вигляд, але ще не потребує коронки чи іншого ортопедичного рішення.

Показань для реставрації досить багато: скол від удару, потемніння після лікування каналів, знос ріжучого краю, щілина між передніми зубами або невеликий, але помітний дефект форми. У кожному з цих випадків обсяг роботи різний, а отже — відрізняється і вартість.

Вартість художньої реставрації зубів визначається після огляду: без оцінки стану зуба і прилеглих тканин будь-які цифри будуть приблизними. На консультації лікар пояснює, що саме потрібно зробити, складає план лікування і узгоджує його з пацієнтом до початку будь-яких маніпуляцій. Також він оцінює стан зуба, пояснює можливі варіанти відновлення та визначає, чи підходить художня реставрація у конкретному випадку.

Що таке художня реставрація зубів

Звичайна пломба закриває порожнину після видалення карієсу. Це функціональне втручання: головне — ізолювати зуб від подальшого руйнування. Художня реставрація — ширше поняття. Вона включає і відновлення після карієсу, і виправлення форми, і зміну кольору, і корекцію контуру зуба. Тобто мета — не лише захистити зуб, а й зробити його природним на вигляд.

Під час естетичної реставрації зубів лікар відтворює форму і колір зуба з урахуванням його індивідуальних особливостей: прозорості ріжучого краю, характеру поверхні, інтенсивності кольору в різних ділянках. Матеріал наноситься пошарово, кожен шар полімеризується окремо. У результаті відновлений зуб виглядає природно і повноцінно виконує свою функцію.

У більшості випадків реставрація не потребує обробки сусідніх зубів — це одна з причин, чому її обирають як перший крок, перш ніж розглядати вініри або коронки.

У яких випадках потрібна реставрація зубів

Звернення до лікаря з приводу реставрації, як правило, пов’язані з такими ситуаціями:

Скол зуба. Найпоширеніша причина. Скол може бути поверхневим — зачіпати лише емаль — або глибшим, коли пошкоджений і дентин. У першому випадку реставрація часто займає одне відвідування. У другому — потрібна більш детальна підготовка.

Тріщина. Не завжди помітна візуально, але може викликати дискомфорт під час жування. Якщо тріщина не сягає кореня, зуб відновлюють реставраційним матеріалом. Якщо глибина більша — лікар спочатку оцінює стан пульпи.

Стертість зубів. Буває при бруксизмі, тривалому вживанні кислих напоїв або як вікова зміна. Зуби стають коротшими, змінюється лінія посмішки. Реставрація дозволяє відновити висоту і форму.

Потемніння і зміна кольору. Може бути наслідком лікування каналів, старої пломби, специфічних медикаментів або накопиченого пігменту. Якщо відбілювання не дає потрібного результату або незастосовне, реставрація — обґрунтована альтернатива.

Карієс. Класичний випадок. Але навіть тут важливо, де розташована порожнина: каріозна порожнина на жувальному зубі і дефект між передніми зубами — технічно різні завдання.

Щілина між зубами (діастема). Невелика щілина між передніми зубами у частині випадків коригується художньою реставрацією без ортодонтичного лікування. Лікар моделює контур зубів так, щоб простір зменшився або зник візуально.

Нерівний контур зуба. Іноді зуб не пошкоджений, але має форму, яка не вписується у загальну лінію — через анатомічні особливості або неправильне формування. Це також вирішується реставрацією.

Які зуби можна відновити за допомогою художньої реставрації

Реставрація передніх зубів

Реставрація передніх зубів — найбільш технічно складна з естетичної точки зору. Ці зуби знаходяться на виду, мають тонший шар емалі й виражену прозорість ріжучого краю. Матеріал підбирається з урахуванням того, як природний зуб взаємодіє зі світлом: десь він трохи непрозорий у пришийковій частині, десь — більш прозорий ближче до краю.

Лікар приділяє підвищену увагу деталям: формі, симетрії щодо сусідніх зубів, поверхневій текстурі. Тому й часу на таку роботу, як правило, іде більше.

Жувальні зуби

Жувальні зуби несуть основне функціональне навантаження, тому тут пріоритет — міцність і якість змикання. Фотополімерні матеріали достатньо витривалі для більшості ситуацій, але при значних втратах тканини лікар може рекомендувати непряму реставрацію — вкладку.

Один або кілька зубів

Художня реставрація може стосуватися як одного зуба, так і кількох одночасно. Якщо потрібно відновити декілька зубів у зоні посмішки, лікар планує результат у цілому — щоб зуби виглядали гармонійно між собою, а не відрізнялися за кольором чи формою.

Методи художньої реставрації зубів

Реставрація зубів фотополімером

Фотополімерний композит — основний матеріал для художньої реставрації. Це пластичний матеріал, який твердіє під дією світла певної довжини хвилі. Під час прийому лікар наносить його пошарово, кожен шар фіксує полімеризаційною лампою. Такий підхід дозволяє точно контролювати форму і досягати потрібної щільності на різних ділянках зуба.

Реставрація зубів фотополімером виконується безпосередньо у ротовій порожнині за одне відвідування — це одна з її головних практичних переваг. Матеріали відрізняються за відтінком, прозорістю і ступенем полірованості поверхні. Для фронтальної ділянки використовують матеріали з вищим естетичним потенціалом, для жувальних зубів — більш міцні.

Після полімеризації лікар шліфує і полірує поверхню, перевіряє правильність змикання. Зуб виглядає природно вже у день лікування.

Фотополімерна реставрація зубів підходить для більшості клінічних ситуацій: від невеликого сколу до відновлення значної частини коронки зуба. При більших дефектах лікар оцінює, чи достатньо прямий метод, або доцільніше обрати вкладку.

Пряма художня реставрація зубів

Пряма реставрація — це та, що виконується безпосередньо в ротовій порожнині. Лікар працює з матеріалом руками, інструментами і лампою, формуючи зуб прямо під час прийому. Вся процедура відбувається за одне або максимум два відвідування.

Цей метод універсальний: він застосовується і для невеликих косметичних коригувань, і для відновлення значних ділянок зуба. Якісна пряма реставрація зубів, виконана досвідченим лікарем, за зовнішнім виглядом не відрізняється від природного зуба і може прослужити багато років при дотриманні звичайних правил догляду.

Непряма реставрація зубів

Непряма реставрація передбачає виготовлення вкладки або накладки в зуботехнічній лабораторії. Лікар знімає відбиток або проводить цифровий скан, техніки виготовляють вкладку або накладку (частіше керамічну, інколи композитну), після чого вона фіксується на зубі.

Непрямий метод доцільний при значних дефектах, коли пряма реставрація може виявитися недостатньо надійною. Вкладки з кераміки мають хорошу міцність і натуральний вигляд, але потребують щонайменше двох відвідувань.

Вибір між прямим і непрямим методом — клінічне рішення, яке приймає лікар після оцінки ситуації.

Як проходить художня реставрація зубів

Огляд і діагностика. На першому прийомі лікар оглядає зуб, за потреби робить рентгенівський знімок. Це дозволяє оцінити стан кореня, пульпи і кісткової тканини навколо зуба. Без цього планувати реставрацію некоректно — іноді під зовнішнім дефектом знаходиться глибший процес.

Підбір кольору. Якщо реставрація естетична, лікар підбирає відтінок матеріалу за шкалою у природному освітленні. Колір зуба неоднорідний: пришийкова зона, середня частина і ріжучий край відрізняються. Для природного результату це враховується.

Підготовка зуба. Залежно від ситуації лікар видаляє уражені тканини або готує поверхню для кращого зчеплення. Потім наноситься адгезивна система — вона забезпечує зв’язок між матеріалом і тканинами зуба.

Нанесення матеріалу. Фотополімер наноситься пошарово. Кожен шар має свою товщину, відтінок і функцію. Лікар формує анатомію зуба — горбки, фісури, контури країв — ще до фінальної полімеризації.

Полірування. Після того як форма сформована, поверхня обробляється борами і полірувальними засобами. Якість полірування впливає на те, як довго реставрація залишатиметься гладкою — шорстка поверхня накопичує пігменти і нальот швидше.

Перевірка оклюзії. Лікар перевіряє, як зуб змикається з антагоністами. Якщо є зайві контакти — коригує прикус, щоб не було надмірного навантаження на реставрацію.

Залежно від обсягу роботи процедура зазвичай займає від 60 хвилин до 2–3 годин.

Реставрація передніх зубів — особливості

Робота з передніми зубами вимагає більшої уваги до деталей, ніж реставрація жувальних. Це пов’язано з кількома аспектами.

По-перше, передні зуби завжди на виду. Будь-яка невідповідність у кольорі, формі або поверхні буде помітна. Тому лікар витрачає більше часу на фінішне опрацювання.

По-друге, природні передні зуби мають виражену прозорість в ріжучій ділянці. Щоб відтворити її, використовуються матеріали з різним ступенем опальності й прозорості. Якщо відновити зуб лише непрозорим матеріалом, він виглядатиме штучно на фоні сусідніх.

По-третє, форма і симетрія. Навіть якщо пошкоджений лише один зуб, лікар орієнтується на сусідні: враховує ширину, висоту і кут нахилу, щоб зуб вписувався в загальну картину.

Підбір кольору для передньої ділянки відбувається при денному освітленні або з використанням спеціального поляризаційного фільтра. Деякі лікарі роблять фотографії зубів перед процедурою, щоб у процесі роботи звіряти результат.

Реставрація передніх зубів може зберігати природний вигляд впродовж тривалого часу при правильно підібраному матеріалі й акуратному виконанні. Проте фотополімер поступово накопичує пігменти від кави, чаю, червоного вина і тютюну. Регулярна гігієна і профілактичні огляди продовжують термін служби реставрації.

Скільки коштує художня реставрація зубів у Львові

Назвати точну суму без огляду неможливо, але можна пояснити, від чого залежить ціна. Точну вартість лікар визначає після огляду і оцінки стану зуба.

Обсяг роботи. Невелике відновлення кута зуба — це одне, відновлення половини коронки — інше. Чим більше часу і матеріалу витрачено, тим вища вартість.

Розташування зуба. Естетична реставрація зубів у зоні посмішки вимагає використання матеріалів вищого класу і більшого часу лікаря. Відповідно, ціна на передній зуб, як правило, вища, ніж на жувальний.

Метод. Пряма фотополімерна реставрація — найпоширеніший і найдоступніший варіант. Непряма реставрація (вкладка з кераміки) обходиться дорожче, оскільки включає лабораторний етап.

Стан зуба до лікування. Якщо перед реставрацією потрібне лікування карієсу, каналів або інша підготовча робота — це окрема частина плану лікування з окремою вартістю.

Кількість зубів. Якщо планується одночасна реставрація кількох зубів, вартість розраховується для кожного окремо.

Реставрація зубів у Львові відрізняється за вартістю залежно від клініки, кваліфікації лікаря і використовуваних матеріалів. На консультації лікар оглядає зуб, пояснює, що потрібно зробити, і озвучує повну вартість до початку лікування. Консультація включає огляд, оцінку стану зуба і підбір оптимального методу реставрації. Будь-які зміни у плані узгоджуються з пацієнтом заздалегідь.

Переваги художньої реставрації зубів

Реставрація — не універсальне рішення для будь-якого випадку. Іноді більш виправдані вініри, коронки або ортодонтичне лікування. Але в тих ситуаціях, де реставрація доречна, вона має кілька вагомих практичних переваг.

Мінімальне втручання в тканини зуба. На відміну від коронки, яка потребує значного зішліфовування, реставрація зберігає максимум власних тканин. Це важливо в довгостроковій перспективі: чим більше залишилося природної структури зуба, тим міцніша його основа.

Результат за одне відвідування. Пряма художня реставрація зубів виконується впродовж одного прийому. Пацієнт приходить з проблемою і виходить з вирішеною.

Природний зовнішній вигляд. Сучасні фотополімерні матеріали добре відтворюють оптичні властивості зубних тканин. При правильному підборі кольору і кваліфікованому виконанні реставрацію не видно на фоні сусідніх зубів.

Можливість корекції. На відміну від незворотних методів лікування, реставрацію при потребі можна відремонтувати або замінити без значних втрат для зуба.

Доступність. Фотополімерна реставрація зубів — одна з найпоширеніших стоматологічних процедур з доступною вартістю порівняно з ортопедичними рішеннями.

Скільки служить художня реставрація зубів

Термін служби реставрації залежить від кількох факторів. При дотриманні звичайних правил догляду якісна реставрація зубів фотополімером служить орієнтовно від 5 до 10 років. У частині випадків довше.

На тривалість впливають:

  • Розмір реставрації. Невелике відновлення ріжучого краю витримає довше, ніж масивне відновлення великої частини коронки.
  • Навантаження. При бруксизмі реставрація зношується швидше. У таких випадках лікар може рекомендувати нічну капу для захисту.
  • Харчові звички. Тверда їжа, горіхи, відкривання кришок зубами — все це скорочує термін служби.
  • Гігієна. Нальот навколо реставрації провокує вторинний карієс — одна з найпоширеніших причин, чому реставрацію доводиться замінювати достроково.
  • Матеріал і якість виконання. Різниця між якісним і дешевим матеріалом проявляється через кілька років: у стабільності кольору, поверхневій гладкості та крайовому приляганні.

Під час профілактичних оглядів лікар оцінює стан реставрацій і вчасно помічає, якщо щось потребує уваги — невелике підполірування або локальна корекція. Це дешевше і простіше, ніж повна заміна.

Догляд після реставрації зубів

Жодних принципово нових правил після реставрації дотримуватись не потрібно. Але є кілька практичних рекомендацій.

Перший день. У першу добу бажано обмежити продукти з інтенсивними барвниками (кава, чай, червоне вино, буряк), особливо якщо реставрація виконувалась у фронтальній зоні.

Чищення зубів. Стандартне двічі на день. Для ділянок між зубами — зубна нитка або міжзубні йоржики. Електрична зубна щітка допустима і рекомендована.

Тверді продукти. Горіхи, льодяники, сухарі — все, що вимагає різкого жорсткого навантаження, краще обмежити. Тверді удари збільшують ризик сколів, у тому числі для природних зубів.

Якщо відчувається дискомфорт. Певна чутливість впродовж кількох днів після реставрації — нормальне явище. Якщо дискомфорт зберігається довше тижня або посилюється — необхідно звернутися до лікаря. Іноді потрібне невелике коригування прикусу.

Регулярні огляди. Відвідування стоматолога раз на 6 місяців дозволяє тримати реставрації під контролем і не пропустити момент, коли щось потребує корекції.

Хто проводить художню реставрацію зубів у клініці

Художня реставрація — це робота лікаря-стоматолога терапевта, який має досвід в естетичній стоматології. Важливо, щоб лікар спеціалізувався саме на таких процедурах: робота з матеріалом на передніх зубах суттєво відрізняється від стандартного лікування карієсу.

Досвід у цій сфері — це не лише кількість виконаних реставрацій, а розуміння того, як будується форма, як матеріал поводиться з різними відтінками, як правильно відполірувати поверхню для довготривалої гладкості. Ці навички формуються з практикою.

У нашій клініці художньою реставрацією займаються лікарі з підтвердженим досвідом роботи. Перед процедурою лікар проводить консультацію: оглядає зуб, оцінює стан тканин, визначає доцільність реставрації і розраховує вартість до початку лікування. Пацієнт отримує конкретний план і може ухвалити рішення без поспіху.

Часті питання про художню реставрацію зубів

Чи боляче проводити реставрацію? Залежить від обсягу роботи. Якщо потрібно лише відновити скол емалі без торкання живої тканини, анестезія зазвичай не потрібна. Якщо втручання глибше — лікар робить місцеву анестезію. Більшість пацієнтів переносять процедуру спокійно.

Чи помітно, що зуб відреставрований? При якісному виконанні — ні. Сучасні матеріали дозволяють добре відтворити колір і текстуру природного зуба. Якщо реставрація помітна, це, як правило, пов’язано або з вибором матеріалу, або з недостатньою увагою до деталей при виконанні.

Чи можна відбілити зуби після реставрації? Фотополімерний матеріал не змінює колір під дією відбілювальних засобів. Тому якщо планується відбілювання, його виконують до реставрації. Тоді матеріал підбирається під новий, світліший відтінок зубів.

Скільки часу займає процедура? Одна реставрація займає від 40 хвилин до 2–3 годин залежно від складності. Реставрація переднього зуба з урахуванням ретельної роботи над кольором і формою — зазвичай від 1,5 години.

Чи можна відновити зуб, якщо залишилося мало тканини? Це питання вирішується індивідуально. При значній втраті коронкової частини лікар оцінює, чи достатньо опори для матеріалу. Іноді використовується штифт для фіксації, іноді більш доцільна коронка. Без огляду і рентгену однозначної відповіді немає.

Чи може реставрація відколотись? Так, це можливо — особливо при ударах, різкому навантаженні або бруксизмі. Невеликий скол реставрації, як правило, можна відремонтувати без повної заміни.

Чи змінює реставрація колір з часом? Фотополімерні матеріали поступово накопичують пігменти. Інтенсивність залежить від матеріалу і харчових звичок. Регулярна гігієна і профілактичне чищення у клініці сповільнюють цей процес. Через кілька років реставрацію можна відполірувати, щоб повернути яскравість поверхні.

Чи потрібна підготовка до реставрації? Спеціальна підготовка зазвичай не потрібна. Якісна гігієна перед прийомом полегшує підбір кольору: без нальоту лікарю легше оцінити реальний відтінок зубів. Якщо планується відбілювання, його виконують до реставрації.

Чим відрізняється художня реставрація від вінірів? Реставрація виконується безпосередньо в кріслі за одне відвідування з фотополімерного матеріалу. Вінір — це тонка керамічна або композитна накладка, виготовлена в лабораторії. Він потребує незначного зішліфовування емалі і двох відвідувань, але має кращу довгострокову стабільність кольору. Вибір між цими методами залежить від стану зуба, обсягу дефекту і завдання — це обговорюється на консультації.

Коли краще обрати коронку замість реставрації? Коронка показана тоді, коли зуб значно зруйнований — втрачено більше половини коронкової частини, або після лікування каналів, коли тканини стали крихкими і ризик розколу зуба високий. Також коронка доцільна при виражених проблемах з прикусом або якщо попередні реставрації неодноразово не тримались через нестачу опори. Рішення приймає лікар після огляду і рентгенологічного дослідження.

Інформація на цій сторінці має довідковий характер. Конкретний план лікування, вибір методу і вартість визначаються після очного огляду — за потреби з рентгенологічним дослідженням. Рішення про лікування приймається спільно з пацієнтом після пояснення всіх деталей.

Запис на художню реставрацію зубів у Львові

Якщо вас турбує стан зуба — скол, зміна кольору, нерівний контур або стара пломба, яка вже не виглядає добре — консультація у лікаря допоможе розібратись, чи потрібна реставрація і якого обсягу.

На прийомі лікар огляне зуб, за потреби зробить знімок, оцінить стан тканин, визначить метод і розрахує повну вартість до початку будь-яких маніпуляцій. Ви отримаєте конкретний план лікування і зможете прийняти рішення без поспіху.

Записатися на консультацію щодо художньої реставрації зубів у Львові можна за телефоном або через форму на сайті. Вкажіть зручний час — і ми підберемо відповідний прийом.