Результати

Реальні історії пацієнтів, які крок за кроком пройшли шлях разом із нашою командою. Кожен випадок — наочний приклад послідовності, персонального підходу та прагнення до натурального, здорового результату без компромісів.

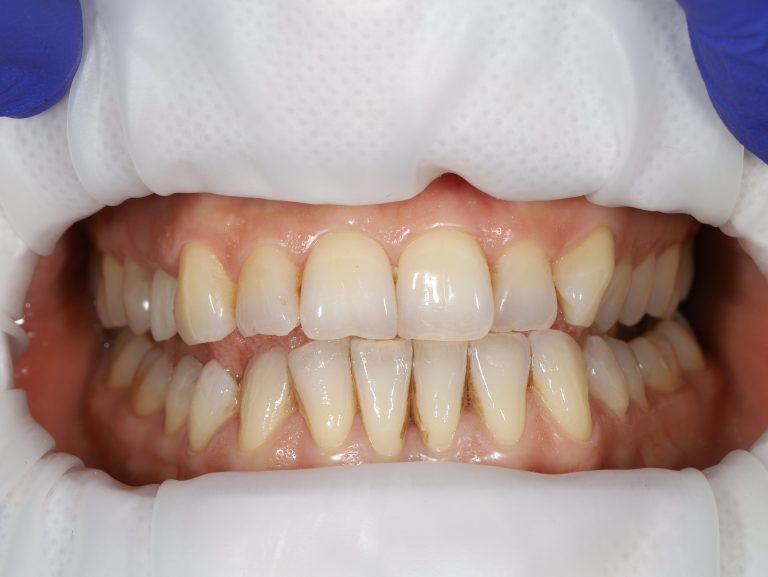
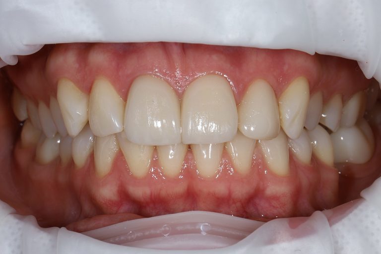
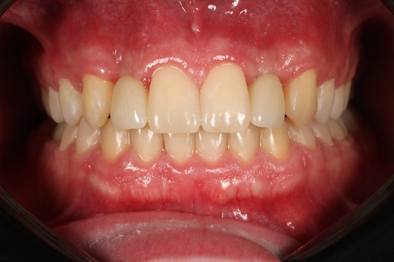
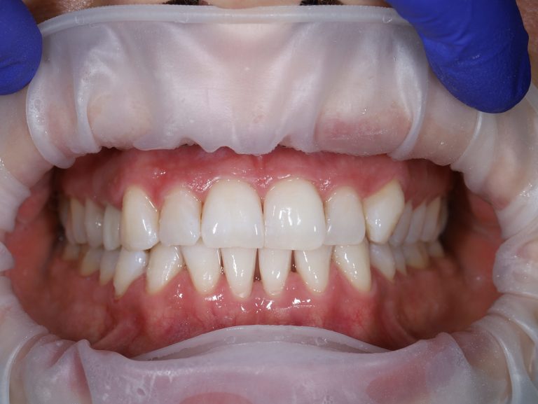
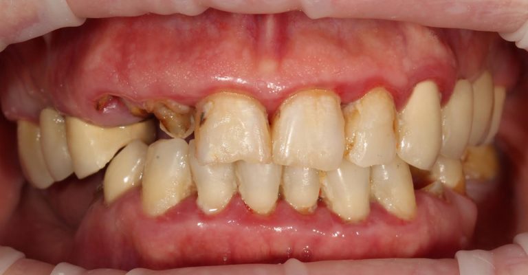
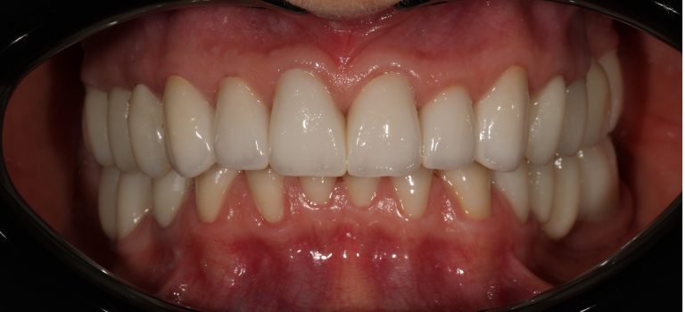
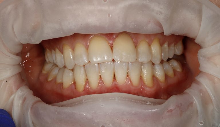
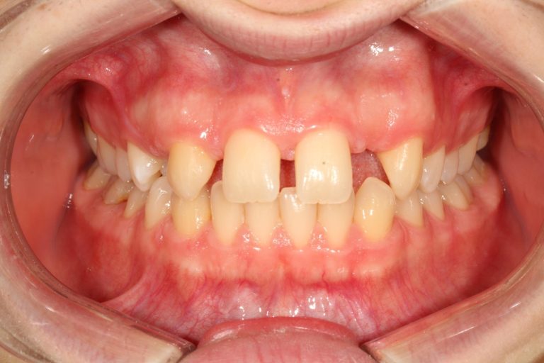
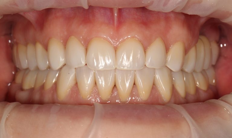
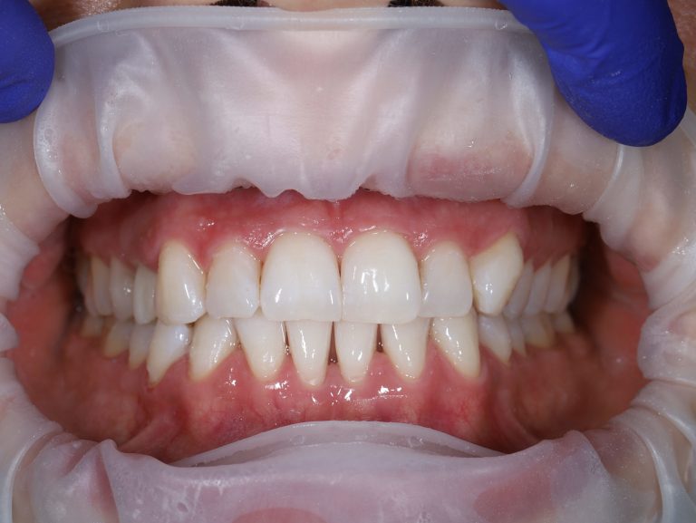
Тотальна реабілітація прикусу та посмішки

30 візитів
6 місяців
11 000 USD

Звернення

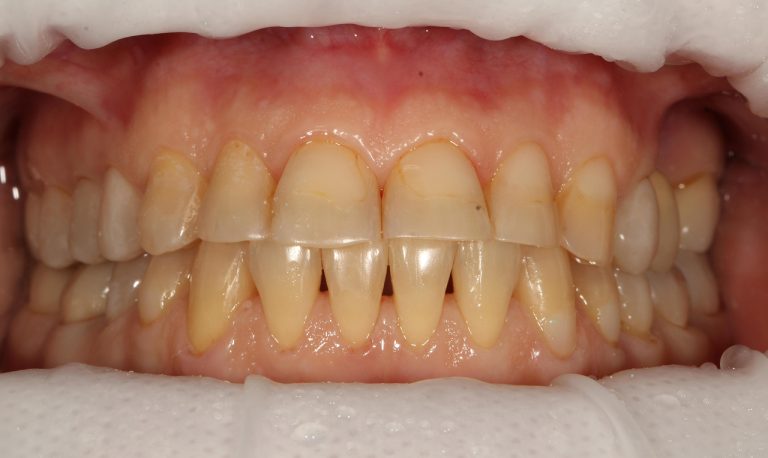
– Кровоточивість ясен
– Дискомфорт при змиканні зубів
– Неестетичний вигляд зубів

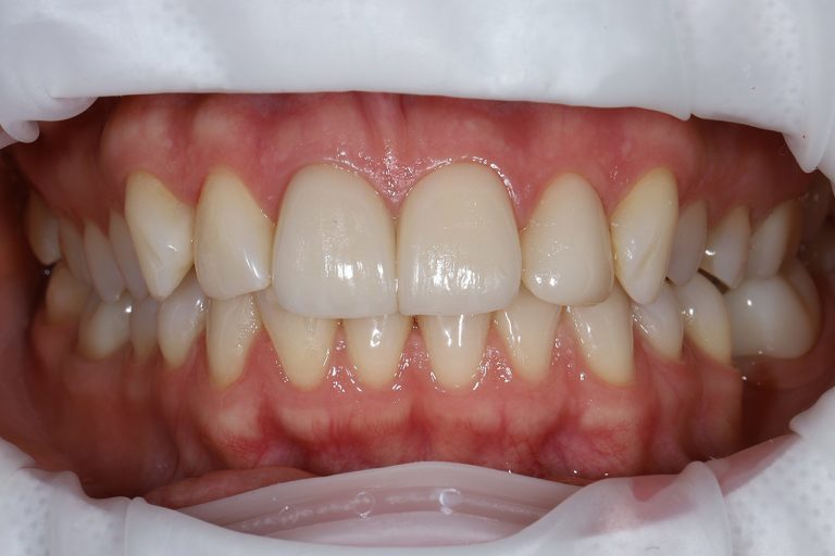
Рішення

– Повне терапевтичне лікування
– Відновлено висоту прикусу
– Гармонійна керамічна реставрація

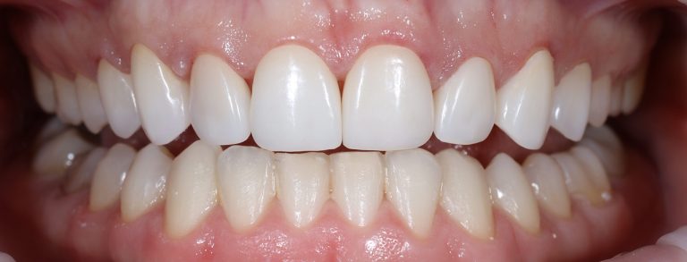
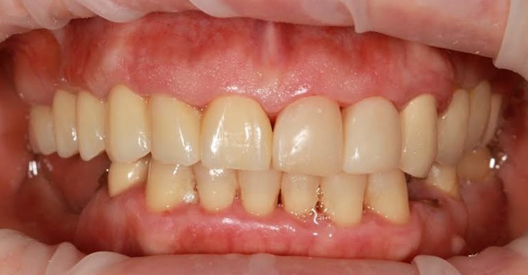
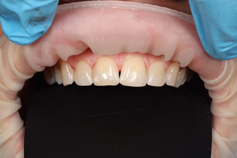
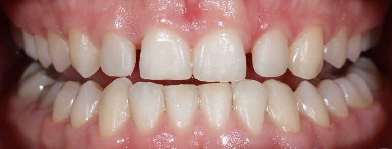
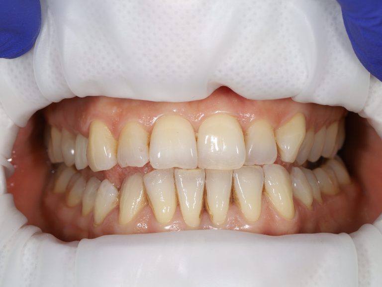
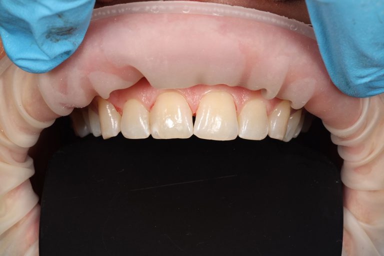
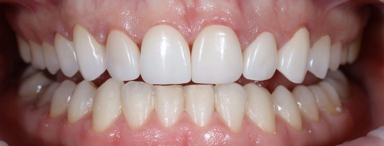
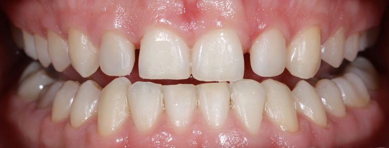
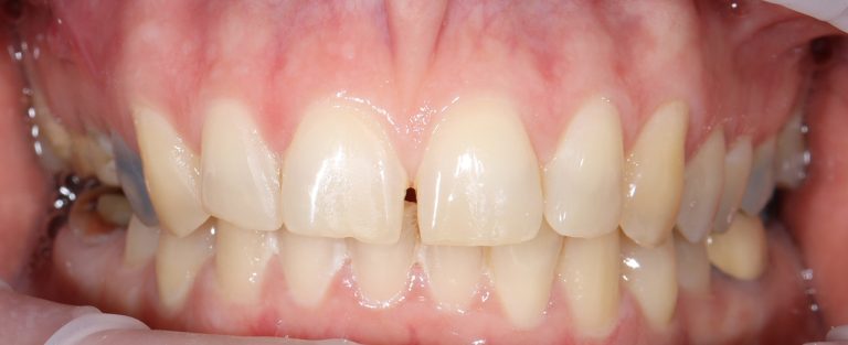
Естетична реставрація фронтальних зубів

6 візитів
1 місяць
1 400 USD

Звернення

– Зміна кольору зубів
– Неестетичний вигляд
– Наявність дисколоритів

Рішення

– Проведено ендодонтичне лікування
– Відновлено анатомічну форму зубів
– Зафіксовано керамічні вініри

Відновлення посмішки вінірами E.max

8 візитів
1,5 місяці
4 350 USD

Звернення

– Невдоволеність формою зубів
– Бажання покращити естетику
– Неприродній вигляд посмішки

Рішення

– Створено ідеальну форму
– Підібрано природний колір
– Зафіксовано вініри E.max

Комплексна реабілітація з ортодонтією та імплантацією

40 візитів
3 роки
6 600 USD

Звернення

– Дискомфорт через відсутність зубів
– Неправильний прикус
– Скупченість зубів

Рішення

– Проведено ортодонтичне лікування
– Виконано імплантацію та кісткову пластику
– Відновлено жувальну функцію

Комплексна реабілітація з імплантацією та протезуванням

Звернення

– Зруйновані, відсутні зуби
– Біль та дискомфорт
– Неможливість нормально жувати

Рішення

– Проведено санацію та ендодонтію
– Встановлено зубні імпланти
– Зафіксовано керамічні коронки

Тотальна функціональна та естетична реабілітація

Звернення

– Відсутність та руйнування зубів
– Знижена висота прикусу
– Порушення функції та естетики

Рішення

– Проведено повну санацію
– Відновлено зубний ряд імплантами
– Створено ідеальну керамічну посмішку

Протезування та повна санація зони посмішки

10 візитів
1 місяць
4 200 USD

Звернення

– Злам коронок передніх зубів
– Наявність запальних процесів
– Неестетичний вигляд посмішки

Рішення

– Проведено ендодонтичне лікування
– Видалено безнадійні зуби
– Встановлено нові коронки

Комплексна реабілітація з імплантацією та протезуванням

Звернення

– Зруйновані, відсутні зуби
– Біль та дискомфорт
– Неможливість нормально жувати

Рішення

– Проведено санацію та ендодонтію
– Встановлено зубні імпланти
– Зафіксовано керамічні коронки

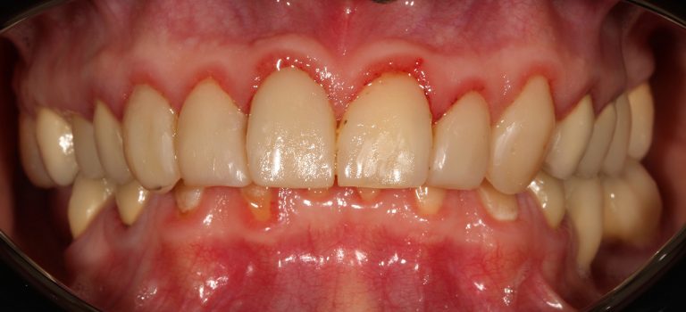
Тотальна реабілітація прикусу та посмішки

30 візитів
6 місяців
11 000 USD

Звернення

– Кровоточивість ясен
– Дискомфорт при змиканні зубів
– Неестетичний вигляд зубів

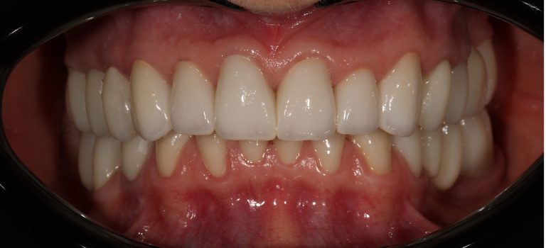
Рішення

– Повне терапевтичне лікування
– Відновлено висоту прикусу
– Гармонійна керамічна реставрація

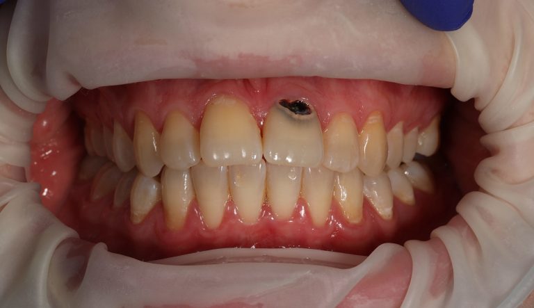
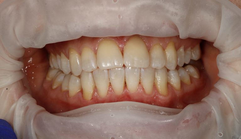
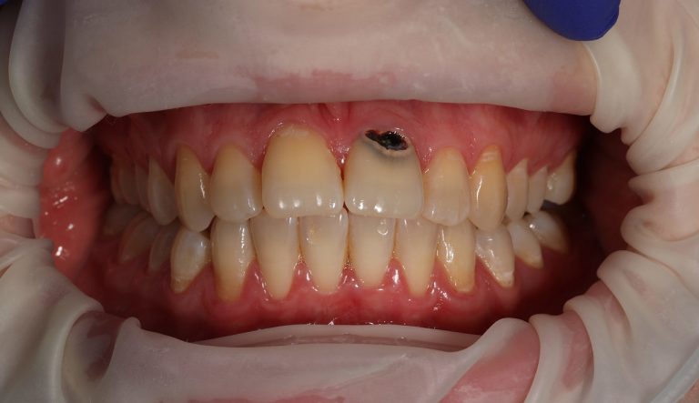
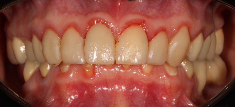
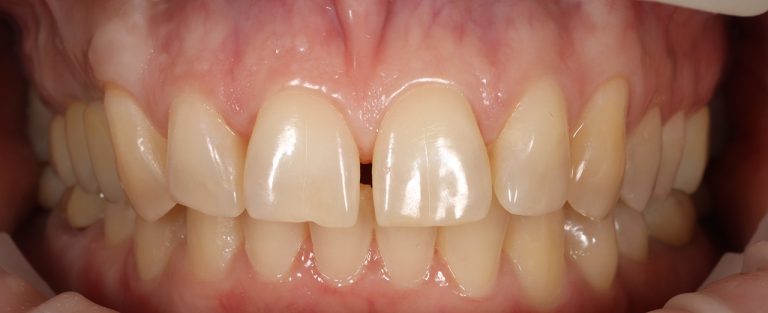
Естетичне відновлення фронтального зуба

1 візит
2,5 години
90 USD

Звернення

– Карієс на передньому зубі
– Неестетичний вигляд посмішки
– Бажання швидкої реставрації

Рішення

– Видалено уражені тканини
– Відновлено форму зуба
– Повернено природній вигляд

Відновлення посмішки керамічними реставраціями

8 візитів
4 тижні

Звернення

– Погана естетика посмішки
– Значна стертість зубів
– Сколи старих реставрацій

Рішення

– Проведено повну санацію
– Відновлено анатомічну форму
– Встановлено керамічні реставрації

Тотальна реабілітація прикусу та посмішки

30 візитів
6 місяців
11 000 USD

Звернення

– Кровоточивість ясен
– Дискомфорт при змиканні зубів
– Неестетичний вигляд зубів

Рішення

– Повне терапевтичне лікування
– Відновлено висоту прикусу
– Гармонійна керамічна реставрація

Естетична реставрація фронтальних зубів

6 візитів
1 місяць
1 400 USD

Звернення

– Зміна кольору зубів
– Неестетичний вигляд
– Наявність дисколоритів

Рішення

– Проведено ендодонтичне лікування
– Відновлено анатомічну форму зубів
– Зафіксовано керамічні вініри

Протезування та повна санація зони посмішки

10 візитів
1 місяць
4 200 USD

Звернення

– Злам коронок передніх зубів
– Наявність запальних процесів
– Неестетичний вигляд посмішки

Рішення

– Проведено ендодонтичне лікування
– Видалено безнадійні зуби
– Встановлено нові коронки

Тотальна реабілітація прикусу та посмішки

30 візитів
6 місяців
11 000 USD

Звернення

– Кровоточивість ясен
– Дискомфорт при змиканні зубів
– Неестетичний вигляд зубів

Рішення

– Повне терапевтичне лікування
– Відновлено висоту прикусу
– Гармонійна керамічна реставрація

Тотальна реабілітація прикусу та посмішки

30 візитів
6 місяців
11 000 USD

Звернення

– Кровоточивість ясен
– Дискомфорт при змиканні зубів
– Неестетичний вигляд зубів

Рішення

– Повне терапевтичне лікування
– Відновлено висоту прикусу
– Гармонійна керамічна реставрація

Комплексна реабілітація з ортодонтією та імплантацією

40 візитів
3 роки
6 600 USD

Звернення

– Дискомфорт через відсутність зубів
– Неправильний прикус
– Скупченість зубів

Рішення

– Проведено ортодонтичне лікування
– Виконано імплантацію та кісткову пластику
– Відновлено жувальну функцію

Ортодонтичне лікування та повна реабілітація

Звернення

– Нерівність зубів
– Неправильне розташування зубів
– Порушення жувальної функції

Рішення

– Виправлено прикус
– Відновлено гармонійну посмішку
– Відновлено жувальну функцію

Протезування та повна санація зони посмішки

10 візитів
1 місяць
4 200 USD

Звернення

– Злам коронок передніх зубів
– Наявність запальних процесів
– Неестетичний вигляд посмішки

Рішення

– Проведено ендодонтичне лікування
– Видалено безнадійні зуби
– Встановлено нові коронки

Відновлення посмішки керамічними реставраціями

8 візитів
4 тижні

Звернення

– Погана естетика посмішки
– Значна стертість зубів
– Сколи старих реставрацій

Рішення

– Проведено повну санацію
– Відновлено анатомічну форму
– Встановлено керамічні реставрації

Комплексна реабілітація з імплантацією та протезуванням

Звернення

– Зруйновані, відсутні зуби
– Біль та дискомфорт
– Неможливість нормально жувати

Рішення

– Проведено санацію та ендодонтію
– Встановлено зубні імпланти
– Зафіксовано керамічні коронки

Комплексна гігієна та відбілювання

1 візит
3 години
150 USD

Звернення

– Зубний наліт та камінь
– Незадовільний колір емалі

Рішення

– Видалено зубні відкладення
– Досягнуто бажаного відтінку

Комплексна реабілітація з ортодонтією та імплантацією

40 візитів
3 роки
6 600 USD

Звернення

– Дискомфорт через відсутність зубів
– Неправильний прикус
– Скупченість зубів

Рішення

– Проведено ортодонтичне лікування
– Виконано імплантацію та кісткову пластику
– Відновлено жувальну функцію

Протезування та повна санація зони посмішки

10 візитів
1 місяць
4 200 USD

Звернення

– Злам коронок передніх зубів
– Наявність запальних процесів
– Неестетичний вигляд посмішки

Рішення

– Проведено ендодонтичне лікування
– Видалено безнадійні зуби
– Встановлено нові коронки

Тотальна реабілітація прикусу та посмішки

30 візитів
6 місяців
11 000 USD

Звернення

– Кровоточивість ясен
– Дискомфорт при змиканні зубів
– Неестетичний вигляд зубів

Рішення

– Повне терапевтичне лікування
– Відновлено висоту прикусу
– Гармонійна керамічна реставрація

Естетична реставрація фронтальних зубів

6 візитів
1 місяць
1 400 USD

Звернення

– Зміна кольору зубів
– Неестетичний вигляд
– Наявність дисколоритів

Рішення

– Проведено ендодонтичне лікування
– Відновлено анатомічну форму зубів
– Зафіксовано керамічні вініри

Відновлення посмішки вінірами E.max

8 візитів
1,5 місяці
4 350 USD

Звернення

– Невдоволеність формою зубів
– Бажання покращити естетику
– Неприродній вигляд посмішки

Рішення

– Створено ідеальну форму
– Підібрано природний колір
– Зафіксовано вініри E.max

Професійне офісне відбілювання

1 візит
1,5 години
100 USD

Звернення

– Жовтий відтінок емалі
– Бажання білосніжної посмішки
ВІніри

Рішення

– Освітлення на кілька тонів
– Сяюча, білосніжна посмішка

Комплексна гігієна та відбілювання

1 візит
3 години
150 USD

Звернення

– Зубний наліт та камінь
– Незадовільний колір емалі

Рішення

– Видалено зубні відкладення
– Досягнуто бажаного відтінку

Безпечне та ефективне відбілювання зубів

1 візит
1,5 години
100 USD

Звернення

– Невдоволеність кольором зубів
– Наявність жовтого відтінку

Рішення

– Зміна на декілька відтінків
– Досягнуто природної білизни

Тотальна реабілітація прикусу та посмішки

30 візитів
6 місяців
11 000 USD

Звернення

– Кровоточивість ясен
– Дискомфорт при змиканні зубів
– Неестетичний вигляд зубів

Рішення

– Повне терапевтичне лікування
– Відновлено висоту прикусу
– Гармонійна керамічна реставрація

Естетична реставрація фронтальних зубів

6 візитів
1 місяць
1 400 USD

Звернення

– Зміна кольору зубів
– Неестетичний вигляд
– Наявність дисколоритів

Рішення

– Проведено ендодонтичне лікування
– Відновлено анатомічну форму зубів
– Зафіксовано керамічні вініри

Естетичне відновлення фронтального зуба

1 візит
2,5 години
90 USD

Звернення

– Карієс на передньому зубі
– Неестетичний вигляд посмішки
– Бажання швидкої реставрації

Рішення

– Видалено уражені тканини
– Відновлено форму зуба
– Повернено природній вигляд

записуйтесь на
першу консультацію

Після першого візиту ви отримаєте персональний план лікування, у якому:
— комплексна діагностика (що сюди входить треба питати в лікарів)
— фотопротокол (фото усіх зубів з поясненнями проблемних зон)
— три опції лікування (детальний покроковий опис процедур з цінами)

Натискаючи кнопку, ви приймаєте політику конфiденцiйностi та даєте згоду на обробку персональних даних