- ELITES
- Лікування карієсу
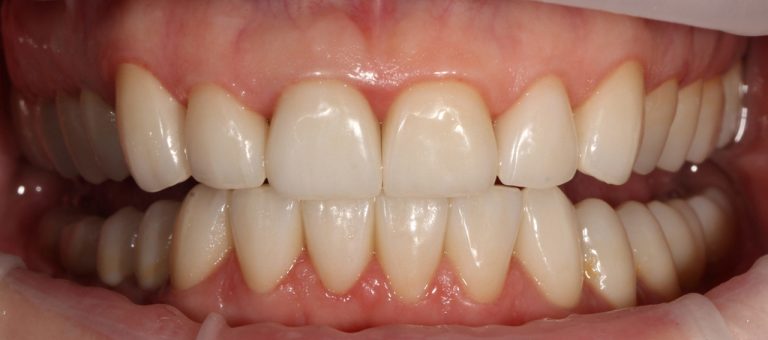
ЛІКУВАННЯ КАРІЄСУ
Відновлюємо здоров’я та естетику зубів, уражених карієсом. Використовуємо сучасні японські матеріали та протоколи для тривалого результату
ДБАЙЛИВЕ ЛІКУВАННЯ КАРІЄСУ В ELITES
Збереження здорових тканин
Працюємо з максимальною точністю, щоб прибрати лише уражені тканини, зберігаючи зуб здоровим. Карієс-маркер гарантує, що не залишилось жодного сліду інфекції
Сертифіковані матеріали
Використовуємо преміальні японські композитні матеріали, які ідеально відтворюють колір та структуру зуба, забезпечуючи надійну та естетичну реставрацію
Комфорт та прозорість лікування
Усе лікування проходить з кофердамом для вашої безпеки та комфорту. А завдяки фотопротоколу ви на власні очі бачите кожен етап роботи лікаря та кінцевий результат
Збереження здорових тканин
Працюємо з максимальною точністю, щоб прибрати лише уражені тканини, зберігаючи зуб здоровим. Карієс-маркер гарантує, що не залишилось жодного сліду інфекції
Сертифіковані матеріали
Використовуємо преміальні японські композитні матеріали, які ідеально відтворюють колір та структуру зуба, забезпечуючи надійну та естетичну реставрацію
Комфорт та прозорість лікування
Усе лікування проходить з кофердамом для вашої безпеки та комфорту. А завдяки фотопротоколу ви на власні очі бачите кожен етап роботи лікаря та кінцевий результат
Турбує зубний біль чи неестетичний вигляд зуба?
Краще діагностувати проблему на ранній стадії та легко її вирішити, аніж чекати на ускладнення і ризикувати втратою зуба. Почніть зі спокійної консультації, щоб зберегти здоров'я вашої посмішки
Процес
01
Консультація та діагностика
Лікар проводить огляд, за потреби робить знімок та складає план лікування, узгоджуючи з вами все наперед
02
Препарування та ізоляція
Перед лікуванням поверхня зуба ретельно очищується. Потім встановлюється кофердам (ізолююча хустинка) для стерильності та комфорту
03
Контроль карієс-маркером
На оброблену порожнину наноситься спеціальний індикатор, щоб переконатись у повному видаленні інфікованих тканин і уникнути найменшого шансу на розвиток карієсу під пломбою
04
Композитна реставрація
Порожнина зуба відновлюється за допомогою сучасного пломбувального матеріалу, повертаючи його естетику та жувальну функцію
Ціни
Лікування поверхневого карієсу та встановлення фотополімерної пломби
2 090 грн
Лікування середнього карієсу та встановлення фотополімерної пломби
2 750 грн
Лікування глибокого карієсу та встановлення фотополімерної пломби
3 300 грн
Відновлення 2/3 зуба фотополімерною пломбою
3 500 грн
Лікування карієсу методом ICON
2 750 грн
Лікарі

Натискаючи кнопку, ви приймаєте політику конфiденцiйностi та даєте згоду на обробку персональних даних

Натискаючи кнопку, ви приймаєте політику конфiденцiйностi та даєте згоду на обробку персональних даних

Натискаючи кнопку, ви приймаєте політику конфiденцiйностi та даєте згоду на обробку персональних даних

Натискаючи кнопку, ви приймаєте політику конфiденцiйностi та даєте згоду на обробку персональних даних
Результати
Тотальна функціональна та естетична реабілітація
Звернення
– Відсутність та руйнування зубів
– Знижена висота прикусу
– Порушення функції та естетики

Рішення
– Проведено повну санацію
– Відновлено зубний ряд імплантами
– Створено ідеальну керамічну посмішку
Питання
Чому між зубами утворюється карієс?
Це одне з найпоширеніших місць для карієсу, тому що ці ділянки найважче очистити звичайною щіткою. Залишки їжі та наліт накопичуються, створюючи ідеальні умови для бактерій, які руйнують емаль. Саме тому щоденне використання зубної нитки є таким важливим.
Для чого потрібен кофердам?
Кофердам (або ізолююча хустинка) захищає зуб від потрапляння слини, що гарантує максимальну герметичність та довговічність пломби. Також він забезпечує ваш комфорт і безпеку: ви не ковтаєте медикаменти та можете спокійно дихати.
Чи буде боліти під час лікування?
Ні, абсолютно не буде. Усе лікування проводиться під сучасною та ефективною місцевою анестезією. Ви не відчуватимете нічого, крім легких дотиків та вібрації.
Чи правда, що лікування передніх зубів болючіше?
Це поширений міф. Сучасна анестезія діє однаково ефективно на будь-якій ділянці щелепи. Процес лікування передніх та жувальних зубів для пацієнта є абсолютно однаковим за відчуттями — тобто безболісним.
Через скільки часу потрібно замінювати пломбу?
Сучасні композитні пломби не мають фіксованого «терміну придатності». Заміна потрібна тоді, коли пломба втрачає герметичність, з'являються сколи або під нею розвивається вторинний карієс. При якісному встановленні та хорошій домашній гігієні пломба може слугувати 10 і більше років.
Записуйтесь на консультацію
На першій консультації лікар проведе ретельну діагностику, оцінить стан зубів та складе план лікування з фіксованою вартістю. Раннє виявлення карієсу гарантує легке, швидке і недороге лікування
Натискаючи кнопку, ви приймаєте політику конфiденцiйностi та даєте згоду на обробку персональних даних
