Ортодонтичні брекети у Львові - сучасний підхід до вирівнювання зубів

Вирівнюємо прикус та зубний ряд за допомогою сучасних брекет-систем. Лікування проходить за чітким планом, з прогнозованим результатом та турботою про ваш комфорт

ПРОГНОЗОВАНЕ ЛІКУВАННЯ БРЕКЕТАМИ В ELITES

Детальна діагностика та план

Ми не починаємо лікування без повного аналізу. Комп’ютерна томографія, фотопротокол та 3D-моделі дозволяють нам спланувати кожен рух зубів і показати вам майбутній результат

Сучасні та естетичні брекет-системи

Працюємо з керамічними, сапфіровими та металевими самолігатурними брекетами. Наш ортодонт підбере систему, яка буде ефективною та естетичною саме для вас

Гарантія стабільного результату

Лікування не закінчується зняттям брекетів. Ми забезпечуємо ретенційний період (капи, ретейнери), щоб ваша нова усмішка залишалася ідеальною на довгі роки

Детальна діагностика та план

Ми не починаємо лікування без повного аналізу. Комп’ютерна томографія, фотопротокол та 3D-моделі дозволяють нам спланувати кожен рух зубів і показати вам майбутній результат

Сучасні та естетичні брекет-системи

Працюємо з керамічними, сапфіровими та металевими самолігатурними брекетами. Наш ортодонт підбере систему, яка буде ефективною та естетичною саме для вас

Гарантія стабільного результату

Лікування не закінчується зняттям брекетів. Ми забезпечуємо ретенційний період (капи, ретейнери), щоб ваша нова усмішка залишалася ідеальною на довгі роки

Шлях до рівних зубів не має бути складним

Ми перетворюємо його на зрозумілий процес, де кожен крок спланований, а результат — прогнозований. На консультації ви отримаєте чіткий поетапний план до вашої ідеальної усмішки, з фіксованою вартістю та прогнозованими термінами

Процес

01

Консультація та діагностика

Лікар-ортодонт проводить огляд, робить знімки, КТ, відбитки та складає детальний план лікування з візуалізацією майбутнього результату

02

Підготовка та санація

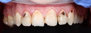
Перед встановленням брекетів необхідно провести професійну гігієну, а за потреби — пролікувати карієс, щоб розпочати лікування на здорових зубах

03

Фіксація брекет-системи

Лікар встановлює та активує обрану брекет-систему на обидві щелепи. Процедура безболісна і триває близько 1,5–2 годин

04

Корекція та активації

Раз на 1–2 місяці ви відвідуєте стоматолога для корекції та активації системи. Це необхідно, щоб контролювати рух зубів згідно з планом
05
Зняття брекетів і ретенція
Після досягнення ідеального результату брекети знімаються, а для закріплення ефекту встановлюються непомітні ретейнери або виготовляються прозорі капи

Ціни

Виправлення прикусу металевою брекет-системою (1 щелепа)

26 000 грн

Виправлення прикусу керамічною брекет-системою (1 щелепа)

30 000 грн

Виправлення прикусу самолігатурною металевою брекет-системою (1 щелепа)

30 000 грн

Виправлення прикусу самолігатурною керамічною брекет-системою (1 щелепа)

34 500 грн

Лікарі

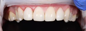
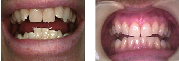
Результати

Ортодонтичне лікування керамічною брекет-системою

25 візитів
1 рік
3 100 USD

Звернення

– Нерівний зубний ряд
– Бажання здорової посмішки
– Скупченість зубів

Рішення

– Проведена повна санація
– Виправлено прикус брекетами
– Створено рівний зубний ряд

Питання

Скільки триває лікування брекетами?

У середньому ортодонтичне лікування триває 1,5–2,5 роки. Точний термін залежить від складності випадку. На консультації лікар-ортодонт складає індивідуальний план лікування з орієнтовною тривалістю.

Чи боляче носити брекети?

Сильного болю зазвичай немає, але після встановлення або корекції можливий тимчасовий тиск чи дискомфорт. Це нормальна реакція, яка свідчить про рух зубів. Зазвичай ці відчуття проходять протягом кількох днів.

Чи є непомітні брекети?

Так, існують більш естетичні варіанти. Керамічні брекети підбираються під колір емалі, а сапфірові мають високу прозорість і виглядають менш помітно на зубах.

Який вік оптимальний для встановлення брекетів?

Часто лікування починають у підлітковому віці (приблизно 12–15 років), коли щелепи активно ростуть. Водночас ортодонтичне лікування можливе і в дорослому віці — за умови відповідного стану зубів і кісткової тканини.

Як доглядати за зубами з брекетами?

Під час носіння брекетів догляд потребує більшої уваги. Окрім звичайної щітки, використовуються спеціальні йоржики для очищення навколо дуги та ортодонтична щітка. Регулярна професійна гігієна також допомагає підтримувати здоров’я зубів протягом лікування.

Записуйтесь на консультацію

На консультації лікар-ортодонт складе для вас персональний план лікування та відповість на всі ваші запитання. Ви будете знати точну вартість, терміни та очікуваний результат ще до початку лікування

Натискаючи кнопку, ви приймаєте політику конфiденцiйностi та даєте згоду на обробку персональних даних

Рівні зуби — це не лише про естетику. Правильний прикус впливає на жування, дикцію, здоров’я суглобів щелепи та навіть на те, як часто виникає карієс. Встановлення брекетів — один із найнадійніших методів ортодонтичного лікування. В нашій клініці у Львові ви можете пройти повний курс: від першої консультації до зняття системи.

Що таке брекети

Брекети — це незнімна ортодонтична система, яка поступово переміщує зуби у правильне положення. Конструкція складається з брекетів (замочків), що фіксуються на поверхні зубів, та дуги, яка проходить через них і створює рівномірний тиск.

На відміну від знімних капп, брекети працюють цілодобово і дозволяють лікарю точніше контролювати кожен рух зуба. Саме тому ортодонтичні брекети залишаються золотим стандартом при складних клінічних випадках — значному скупченні зубів, відкритому чи глибокому прикусі, вираженій асиметрії.

Сучасні системи значно відрізняються від тих, що були ще 10–15 років тому: вони менші, комфортніші та виготовлені з матеріалів, які враховують потреби різних пацієнтів.

Коли потрібне встановлення брекетів

Ортодонт може рекомендувати брекети в таких ситуаціях:

  • Скупченість зубів — коли зубам не вистачає місця в зубному ряді і вони ростуть у неправильному напрямку.
  • Проміжки між зубами — діастеми та треми, які впливають на функцію та естетику.
  • Глибокий або відкритий прикус — верхні зуби надмірно перекривають нижні, або між ними є вертикальний проміжок.
  • Перехресний прикус — зміщення верхньої або нижньої щелепи відносно одна одної.
  • Дистальний або мезіальний прикус — порушення співвідношення щелеп у горизонтальній площині.

Точні показання визначає лікар-ортодонт після огляду та діагностики. Самостійно оцінити ступінь складності випадку неможливо — деякі порушення, непомітні на перший погляд, потребують серйозного лікування, і навпаки.

Як проходить встановлення брекетів

Консультація

Перший прийом — це знайомство з лікарем і попередня оцінка стану зубів та прикусу. Ортодонт уважно оглядає порожнину рота, ставить запитання про скарги та побажання, пояснює, які варіанти лікування підходять у вашому випадку. Консультація займає близько 30–40 хвилин.

Діагностика

Перед лікуванням необхідно отримати повну клінічну картину. Для цього виконують:

  • Панорамний знімок (ортопантомограма) — показує всі зуби, коріння та кісткову тканину.
  • Телерентгенограма (ТРГ) — бічний знімок черепа для аналізу співвідношення щелеп.
  • Цифровий 3D-скан — знімаються відбитки зубів для точного планування переміщень.

На основі цих даних лікар складає індивідуальний план лікування і погоджує його з пацієнтом.

Встановлення

Процедура фіксації брекетів займає від 1 до 2 годин залежно від системи та клінічної ситуації. Лікар протравлює і висушує емаль, наносить спеціальний клей та фіксує кожен брекет на відповідному зубі. Потім через замочки пропускається дуга — і система починає працювати. Процедура не потребує анестезії та є безболісною, хоча перші 2–4 дні після фіксації або заміни дуги зуби можуть реагувати на навантаження.

Контроль лікування

Після встановлення пацієнт приходить на планові огляди кожні 4–8 тижнів. На кожному візиті лікар оцінює динаміку, замінює або підтягує дугу, при потребі додає допоміжні елементи. Середній термін активного лікування — від 12 до 24 місяців, залежно від складності випадку. Після зняття брекетів обов’язково використовуються ретейнери, які закріплюють результат.

Види брекетів

Металеві брекети

Класична та найпоширеніша система. Виготовлені зі сталевого сплаву, металеві брекети відрізняються надійністю, точністю переміщення зубів і доступною вартістю. Сучасні металеві замочки значно менші, ніж кілька десятиліть тому, — вони менш помітні та комфортніші у носінні. Підходять для більшості клінічних ситуацій, включно зі складними випадками.

Керамічні брекети

Виготовляються з полікристалічної кераміки кольору зубів — тому на тлі емалі вони значно менш помітні, ніж металеві аналоги. Керамічні брекети мають таку ж клінічну ефективність, але виглядають естетичніше. Підходять дорослим пацієнтам, яким важливий зовнішній вигляд під час лікування: на роботі, у публічному спілкуванні, на заходах.

Сапфірові брекети

Виготовлені з монокристалічного сапфіру — напівпрозорого матеріалу, який максимально наближений за виглядом до емалі. Сапфірові брекети є найестетичнішим варіантом серед незнімних систем: вони практично невидимі на зубах і не змінюють колір протягом усього лікування. Цей тип обирають пацієнти, для яких естетика під час лікування є пріоритетом.

Брекети для дорослих

Ортодонтичне лікування у дорослих має свою специфіку: кісткова тканина вже сформована, тому переміщення зубів відбувається дещо повільніше, ніж у підлітків. Разом із тим дорослі пацієнти дисципліновані, точно дотримуються рекомендацій — і це позитивно впливає на результат.

Перед початком лікування важливо впевнитись, що вилікуваний карієс і немає активних запальних процесів у яснах. Для дорослих особливо популярні керамічні та сапфірові системи — через їх естетичність у повсякденному житті.

Брекети для підлітків

Підлітковий вік — оптимальний час для ортодонтичного лікування: щелепи ще ростуть, зуби переміщуються швидше, а результат стабільніший. Більшість підлітків добре звикають до брекетів вже за кілька тижнів. Залежно від побажань, встановлюють як металеві, так і керамічні системи. Металеві брекети для підлітків часто доповнюють кольоровими лігатурами — це робить носіння більш цікавим.

Скільки коштують брекети у Львові

Ціна на брекети залежить від типу системи та кількості щелеп. У нашій клініці актуальні такі тарифи (вартість вказана за 1 щелепу):

Система Вартість (1 щелепа)
Металева брекет-система 24 500 грн
Керамічна брекет-система 28 500 грн
Самолігатурна металева брекет-система 28 500 грн
Самолігатурна керамічна брекет-система 33 000 грн

У вартість входить встановлення системи. Планові контрольні візити та заміна дуг оплачуються окремо відповідно до прайс-листа клініки. Точну суму повного курсу лікування лікар розраховує індивідуально — після діагностики та складання плану лікування.

Переваги лікування у нашій клініці

Досвідчені ортодонти. Лікарі клініки спеціалізуються виключно на ортодонтії та мають досвід роботи зі складними клінічними випадками у пацієнтів різного віку.

Сучасна діагностика. Цифровий 3D-скан, ТРГ та панорамний знімок дозволяють скласти точний план лікування ще до встановлення брекетів — без здогадок та корекцій «по ходу».

Широкий вибір систем. Ми пропонуємо металеві, керамічні та самолігатурні брекети — ви обираєте систему, яка відповідає вашому бюджету та побажанням щодо естетики.

Індивідуальний підхід. Кожен план лікування складається персонально: терміни, кількість візитів та тактика залежать від конкретної ситуації, а не від шаблону.

Зручне розташування у Львові. Клініка знаходиться у зручному місці з хорошою транспортною доступністю — відвідувати планові огляди комфортно навіть при щільному графіку.

Брекети у Львові — запис на консультацію

Якщо ви розглядаєте встановлення брекетів у Львові, першим кроком є консультація ортодонта. На прийомі лікар оцінить стан зубів, відповість на всі запитання та запропонує варіанти лікування з урахуванням вашої ситуації та побажань.

Записатися на консультацію можна зручним для вас способом: через форму на сайті, за телефоном або в месенджер. Ми підберемо зручний час і нагадаємо про візит заздалегідь.

FAQ — часті запитання про брекети

Боляче носити брекети? Сам процес встановлення безболісний. У перші 2–4 дні після фіксації або заміни дуги можливий дискомфорт — зуби реагують на тиск. Це нормальна реакція, яка швидко минає. Більшість пацієнтів описують це як «відчуття тиску», а не гострий біль.

Скільки часу займає лікування? Середня тривалість — від 12 до 24 місяців. Точний термін залежить від складності випадку, типу системи та того, наскільки регулярно пацієнт відвідує планові огляди. Деякі нескладні ситуації вирішуються за 10–12 місяців, складніші можуть потребувати більше часу.

Чи можна встановити брекети дорослому? Так. Вікових обмежень для ортодонтичного лікування немає. Дорослі пацієнти успішно проходять лікування на брекетах — результат залежить від стану зубів та ясен, а не від віку. Головна умова — відсутність активних запальних захворювань пародонту та нелікованого карієсу.

Як доглядати за зубами під час носіння брекетів? Гігієна порожнини рота стає детальнішою: після кожного прийому їжі зуби чистять зубною щіткою та інтердентальними йоржиками. Рекомендують також іригатор для видалення залишків їжі між зубами та під дугою. Лікар розповідає про всі нюанси догляду на першому прийомі після встановлення.

Що буде після зняття брекетів? Після завершення активного лікування встановлюються ретейнери — спеціальні фіксуючі конструкції, які утримують зуби у новому положенні. Без ретейнерів зуби можуть поступово повернутися на попередні позиції. Ретейнери бувають знімними (носять вночі) або незнімними (тонка дуга, приклеєна з внутрішньої сторони зубів).